BLANQUEAMIENTO DENTAL
LA SONRISA DE TUS SUEÑOS
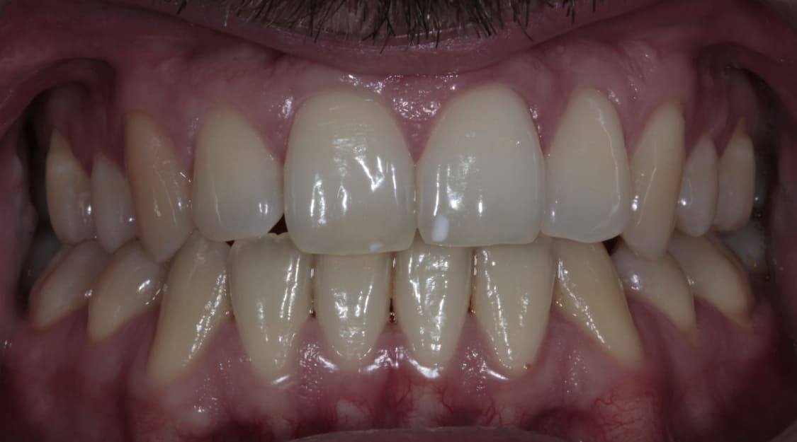
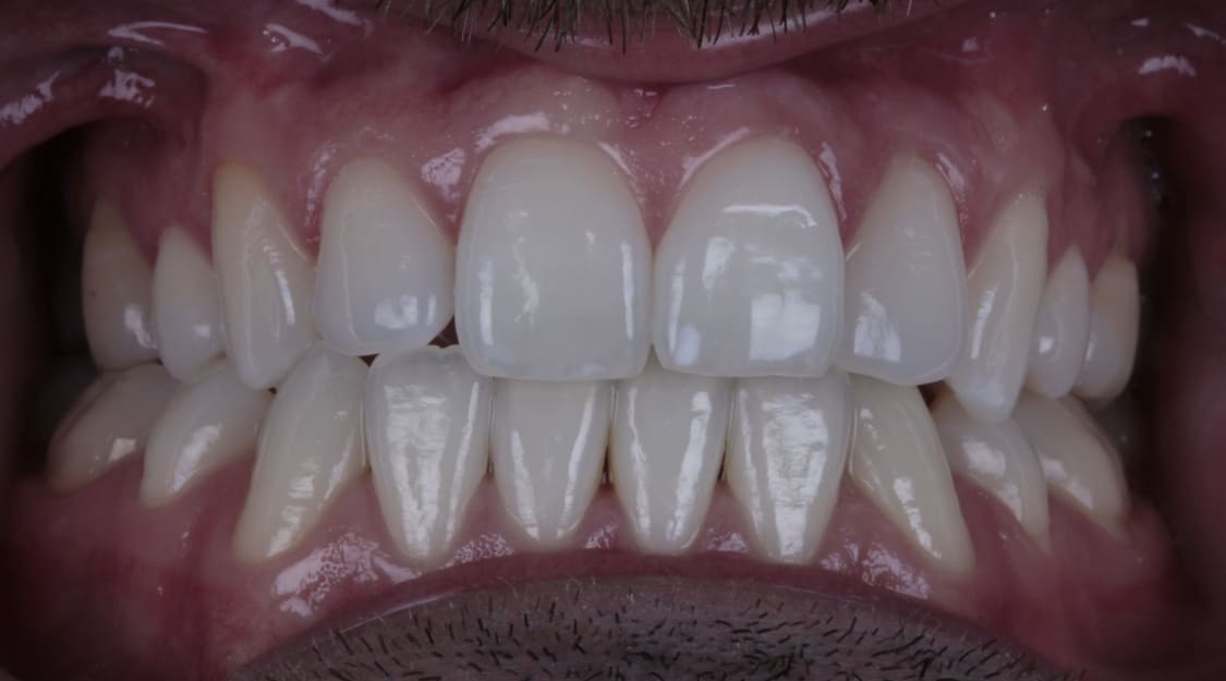
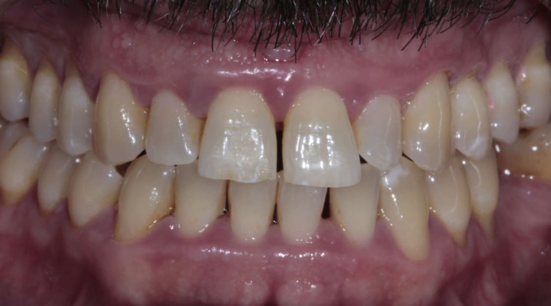
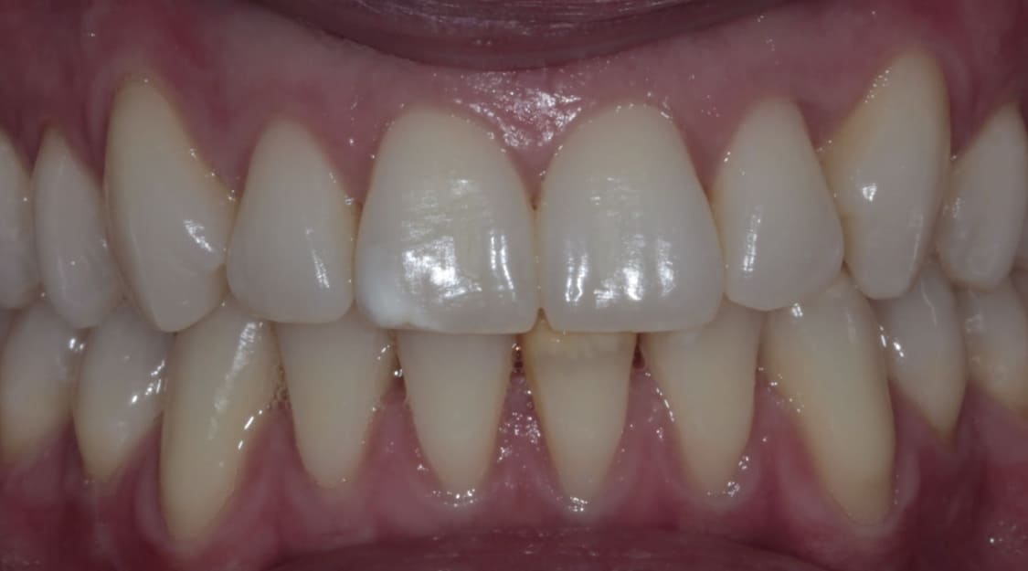
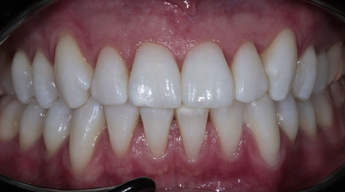
Si buscas una sonrisa blanca y radiante que rejuvenezca tu rostro y mejore tu aspecto dental, el blanqueamiento dental es la solución ideal. En Clínica FL Dental contamos con un equipo especializado que tratará las decoloraciones incómodas de tus dientes. Pide tu cita gratuita y descubre cómo mejorar tu sonrisa.
¿Cuándo se recomienda un blanqueamiento dental?
El blanqueamiento dental se recomienda cuando los dientes presentan manchas o decoloraciones causadas por alimentos, bebidas como el café, vino o tabaco. También es ideal si buscas mejorar la estética de tu sonrisa antes de un evento especial o simplemente para verte más joven y radiante. Consulta con nuestros especialistas si este tratamiento es adecuado para ti.

Ventajas
- Método indoloro. Con el blanqueamiento Philips Zoom!, ajustamos la intensidad de la luz para evitar sensibilidad y garantizar un tratamiento cómodo.
- Mejora la salud bucal. Realizamos una limpieza dental previa para eliminar sarro, eliminando problemas gingivales y asegurando dientes limpios y sin caries antes del tratamiento. Tener una boca sana y funcional antes de recibir un tratamiento de blanqueamiento dental.
- Elimina manchas. Este procedimiento elimina manchas profundas, mejorando notablemente la estética de tu sonrisa y aumentando tu autoestima.
- Carillas dentales. Combinamos el blanqueamiento dental previo a la colocación de carillas dentales para resultados mucho más estéticos y duraderos.
- Seguro para el esmalte.El blanqueamiento dental no daña la estructura dentaria, es un tratamiento 100% seguro
Tecnología avanzada en blanqueamiento dental: Philips Zoom!
¿Te gustaría tener los dientes más blancos en solo 1 hora? En Clínica FL Dental utilizamos la tecnología líder Philips Zoom!, que aclara hasta 4 tonos en una única sesión. Además, combinamos el tratamiento en clínica con el blanqueamiento en casa, logrando resultados más duraderos y eficaces. ¡Notarás la diferencia desde la primera sesión!
¿Qué tecnología usamos?

Beneficios del blanqueamiento dental profesional
Estos pasos aseguran que el proceso sea cómodo y que el resultado sea duradero y natural.

Análisis de color
A veces es necesario corregir la posición de los dientes antes de tratamientos estéticos como el blanqueamiento dental para lograr resultados menos invasivos.

Aplicación del tratamiento
Con nuestro protocolo realizamos un blanqueamiento combinado: primero una sesión en consulta y luego un kit completo para continuar el tratamiento en casa.

Cuidado en casa
Usarás férulas nocturnas con gel blanqueador y recibirás recomendaciones para que tu alimentación no afecte el blanqueamiento.

Revisión y mantenimiento
Al finalizar el tratamiento, realizamos una revisión para asegurar la durabilidad del blanqueamiento y te damos recomendaciones para mantener tu sonrisa blanca.
Preguntas frecuentes sobre Blanqueamiento Dental
¿?
¿?





